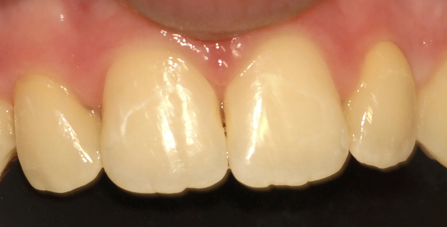
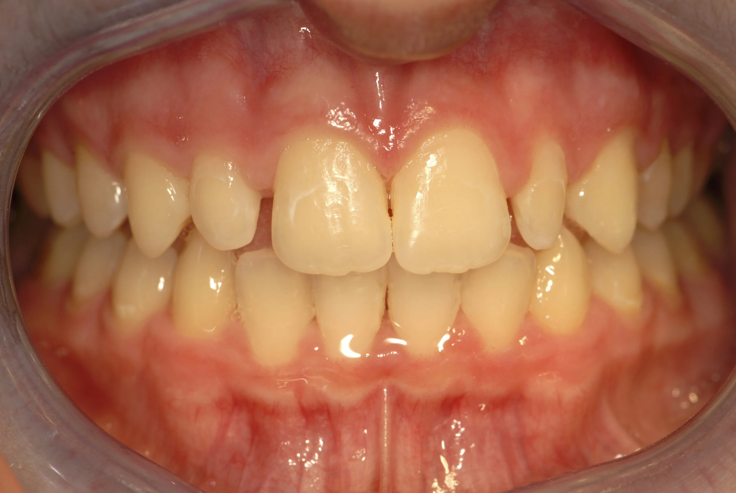
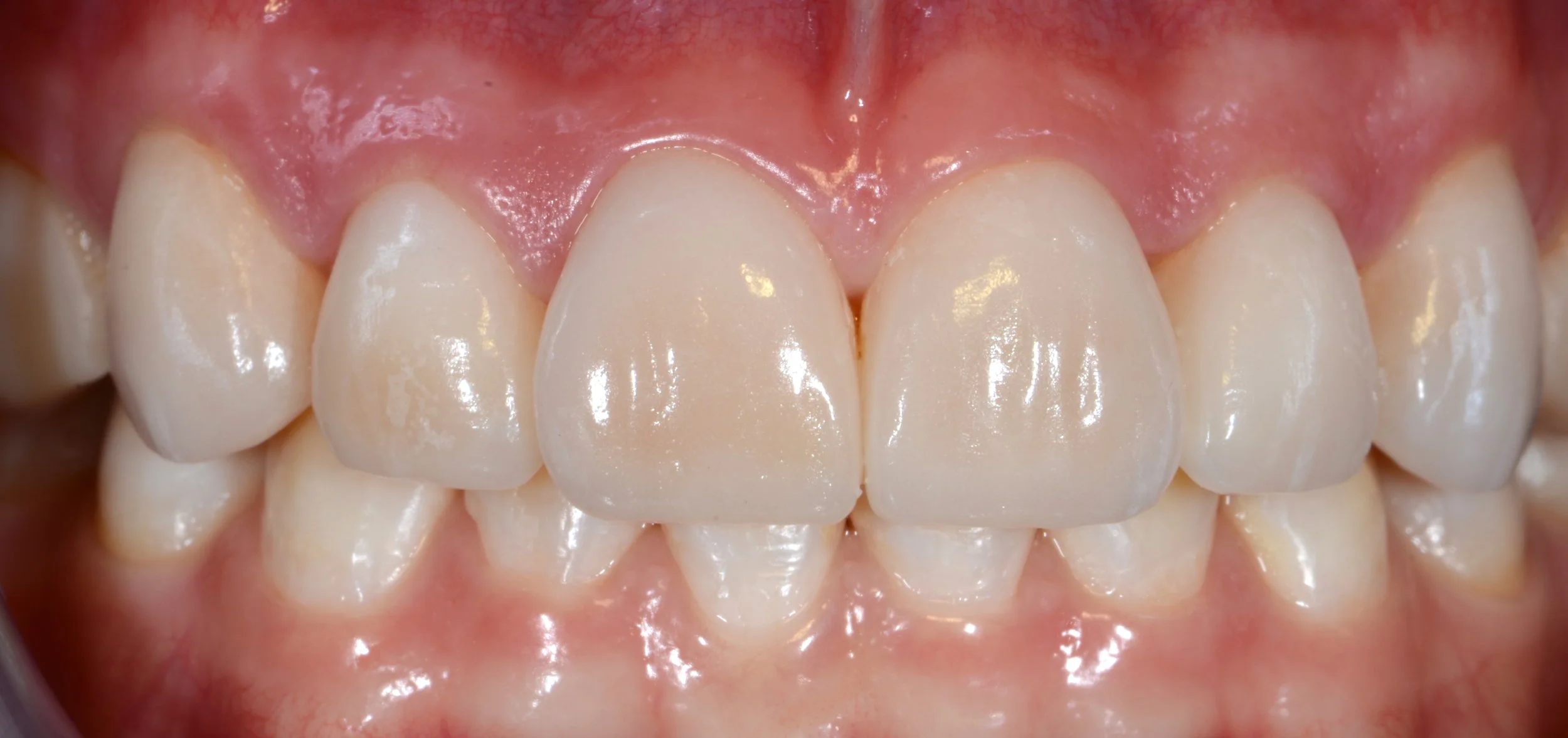
Porcelain Veneers
Porcelain veneers are thin shells of ceramic that bond directly to the front surfaces of the teeth. They have become increasingly popular due to their simplicity and versatility.
Will they look like normal teeth?
When bonded to the teeth, the ultra-thin porcelain veneers are virtually undetectable and highly resistant to coffee, tea, or even cigarette stains. For strength and appearance, their resemblance to healthy, white tooth enamel is unsurpassed by other restorative options.
How durable are porcelain veneers?
With proper care, porcelain veneers will brighten your smile for years to come.
Dr. Progebin will ensure that your veneers are crafted from the highest quality porcelain and are bonded with the most advanced and proven materials available.
Refraining from using your veneers as tools to open and cut things will prolong their life, and if accidental breakage or damage occurs, it is usually possible to replace only the veneer involved.
Samples:
