Crowns
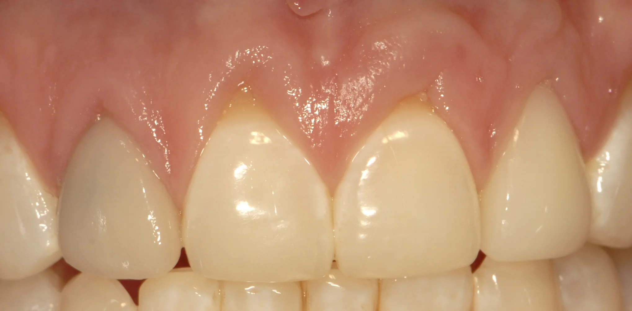
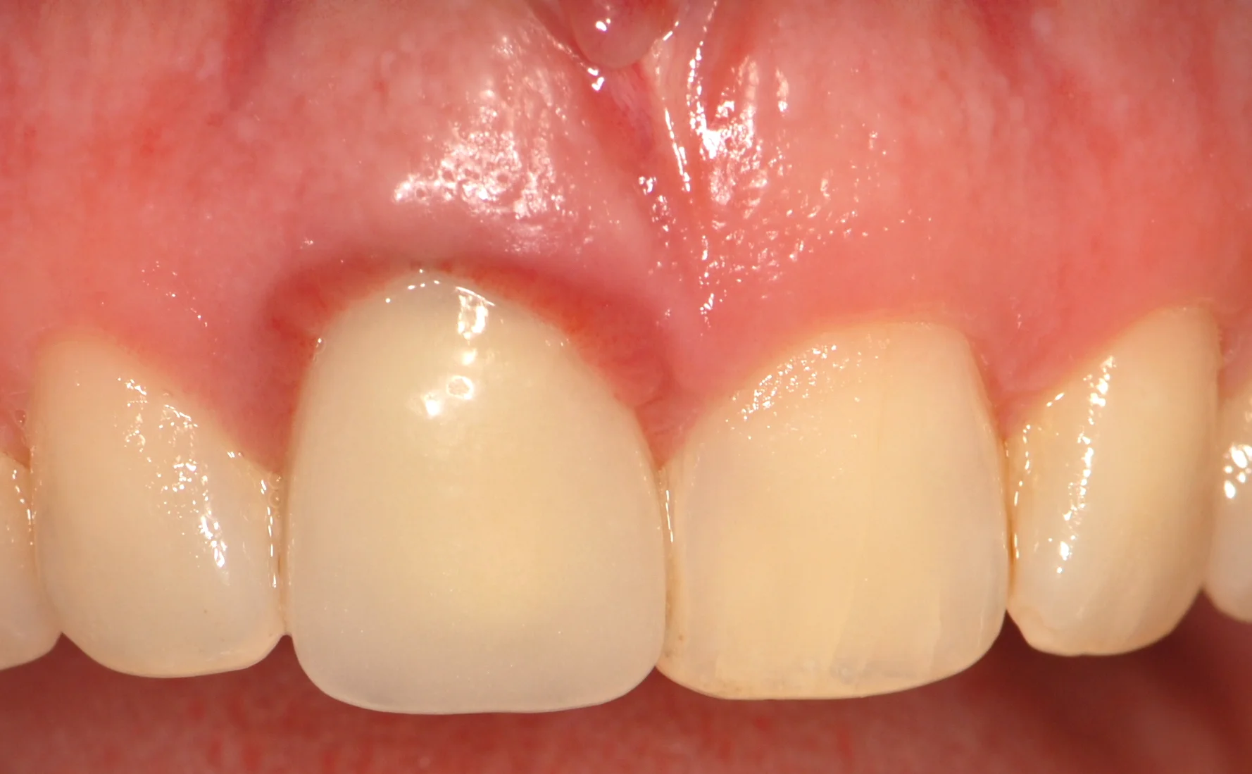
Most dentistry looks like dentistry, however our goal is to provide dentistry that is undetectable. We are renowned for the quality and longevity of our work.
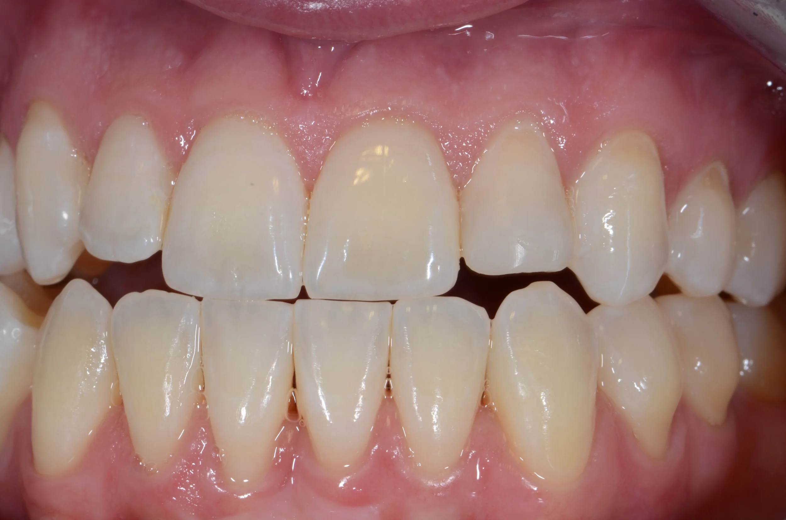
We replace existing crowns and fillings with restorations that look and feel like your natural teeth.
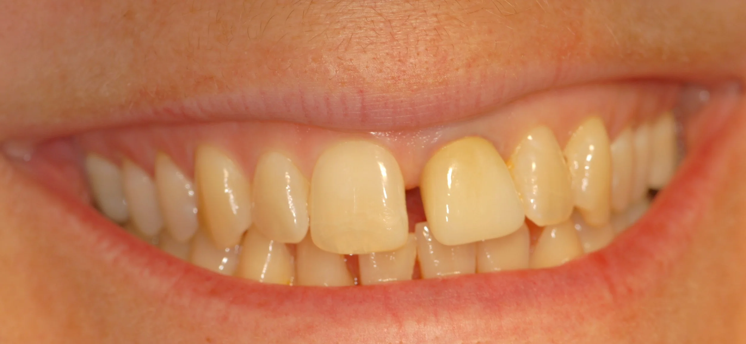
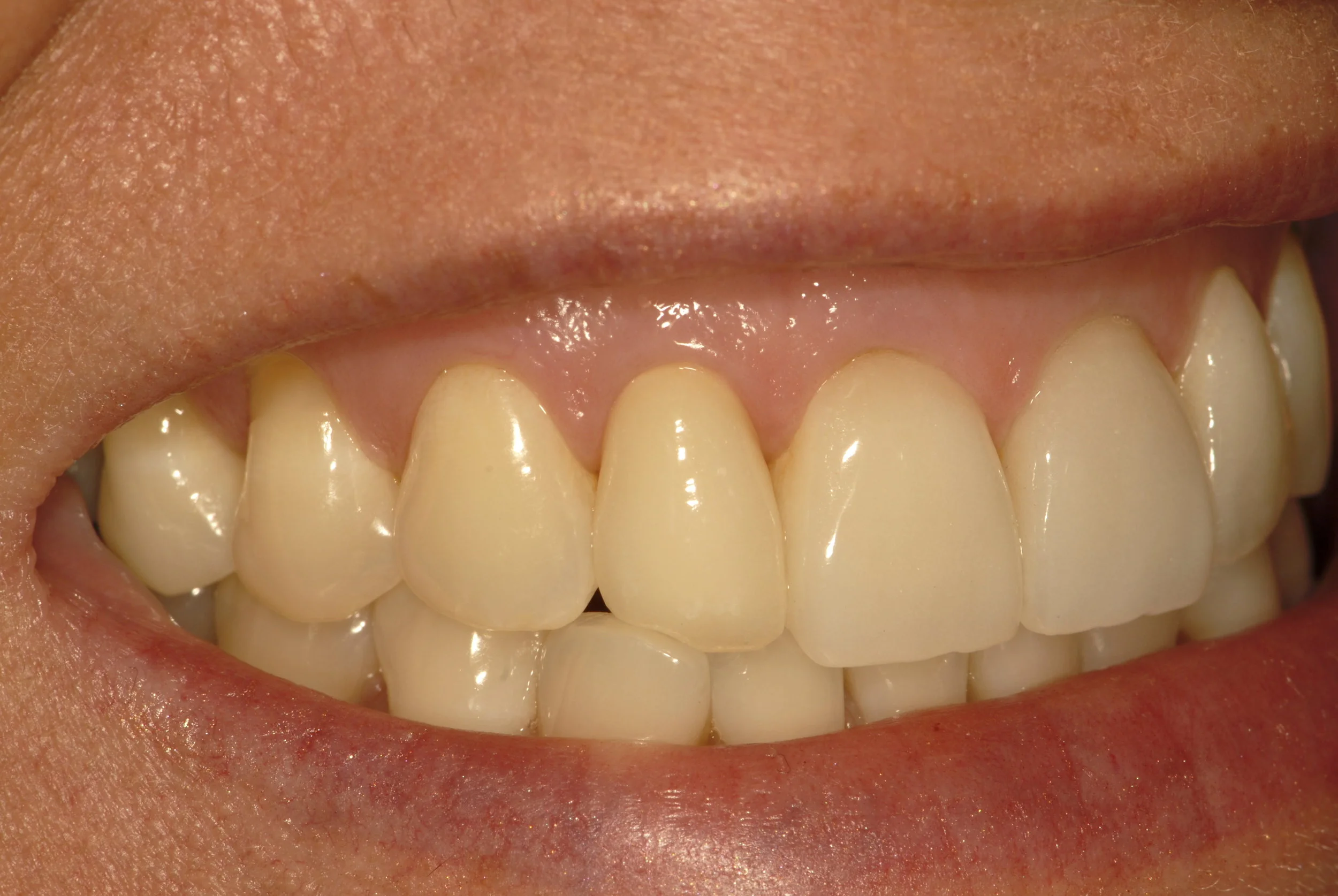
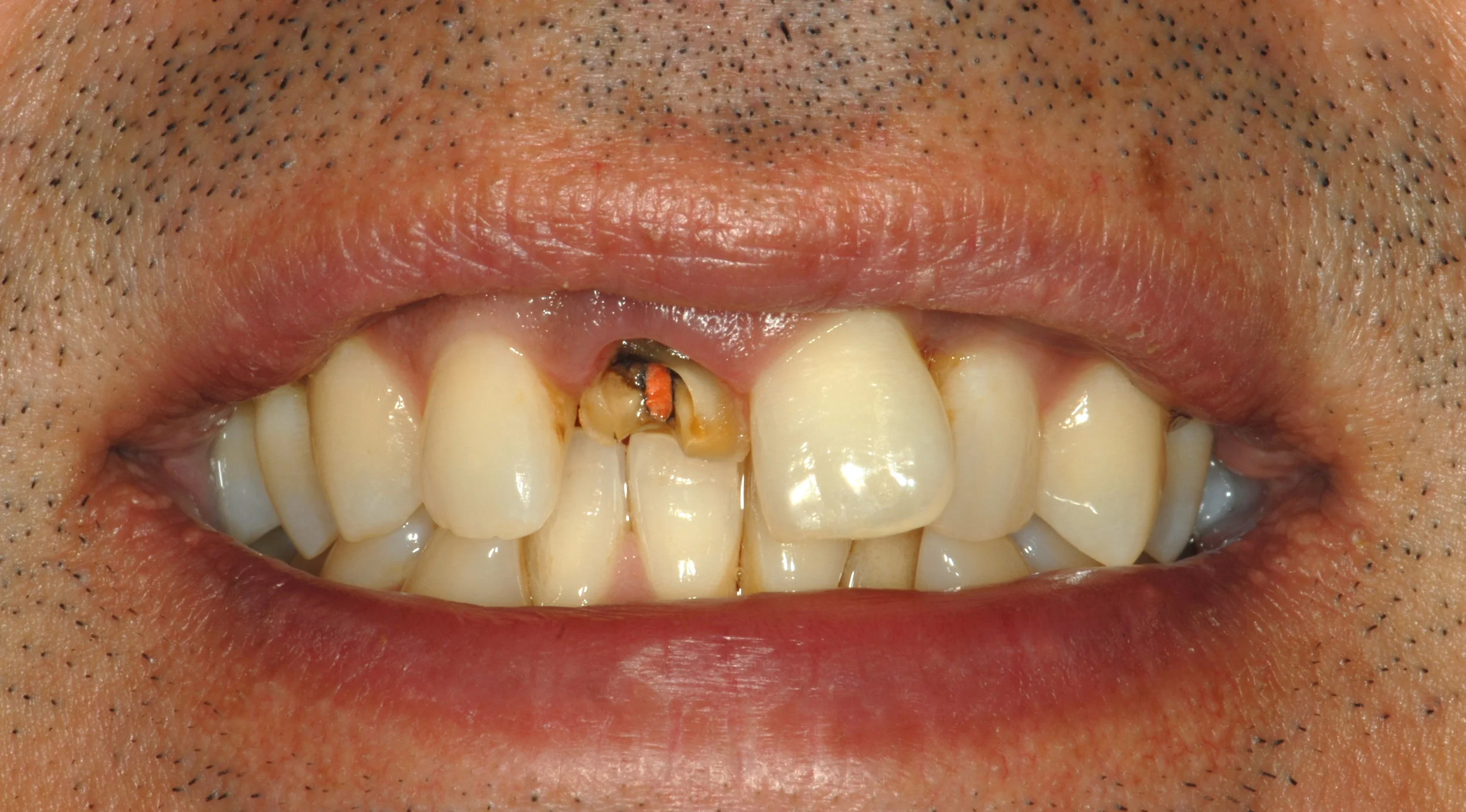
When damage to a person’s teeth is extreme, and seemingly beyond repair, they can often be rehabilitated to its original form and function using porcelain or porcelain fused to metal crowns.
How long does it take to fit a dental crown?
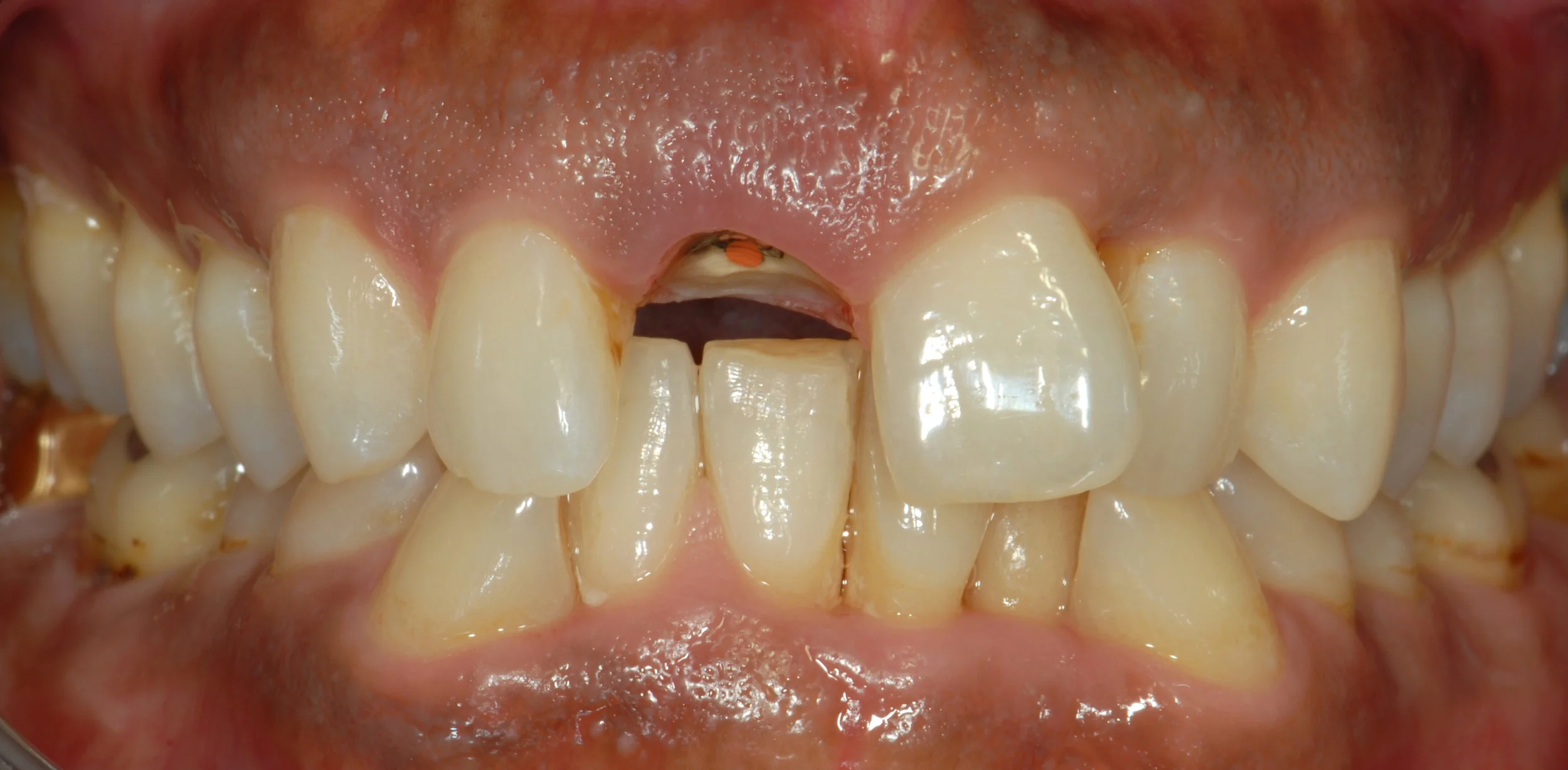
Fitting a crown requires three visits to our office. Initially, we will remove decay, shape the tooth, and fit it with a temporary crown of either plastic or metal. On the subsequent visit we will remove the temporary crown and take a final impression. Finally, we will cement the permanent crown into place and you will leave with a beautiful, natural looking tooth.
Benefits of Crowns
- Replaces missing teeth
- Offers support to misshapen teeth or badly broken teeth
- Looks completely natural
- Addresses “smile” and functional chewing problems
- Maintains bite and tooth alignment
Crowns
CROWNS
We replace existing crowns and fillings with restorations that look and feel like your natural teeth.
Most dentistry looks like dentistry, however our goal is to provide dentistry that is undetectable. We are renowned for the quality and longevity of our work.
When damage to a person’s teeth is extreme, and seemingly beyond repair, they can often be rehabilitated to its original form and function using porcelain or porcelain fused to metal crowns.
How long does it take to fit a dental crown?
Fitting a crown requires three visits to our office. Initially, we will remove decay, shape the tooth, and fit it with a temporary crown of either plastic or metal. On the subsequent visit we will remove the temporary crown and take a final impression. Finally, we will cement the permanent crown into place and you will leave with a beautiful, natural looking tooth.
Benefits of Crowns
- Replaces missing teeth
- Offers support to misshapen teeth or badly broken teeth
- Looks completely natural
- Addresses “smile” and functional chewing problems
- Maintains bite and tooth alignment
Samples:


