FULL MOUTH REHABILITATION
View fullsize
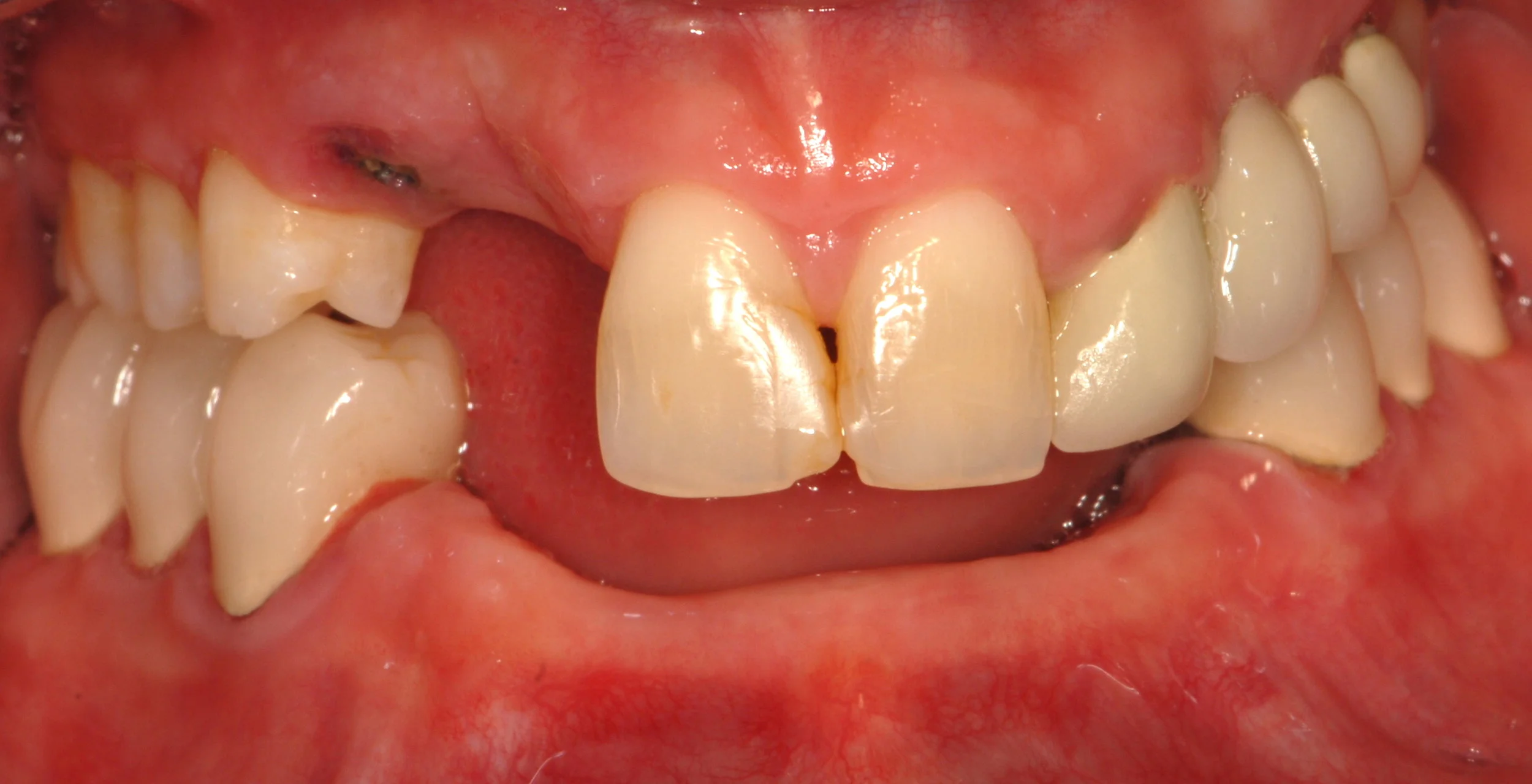
Defective restorations, mutilated dentition before
View fullsize
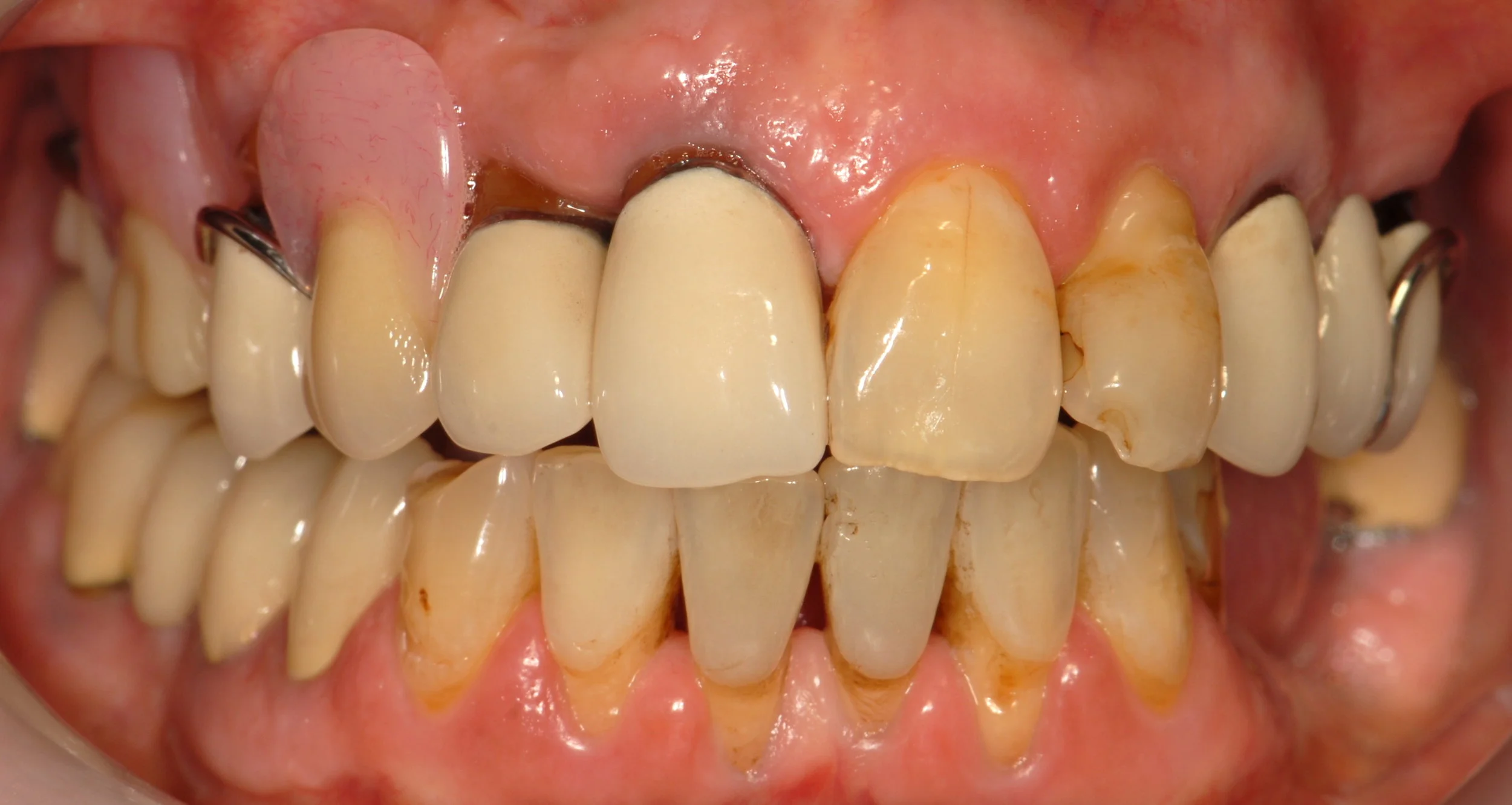
Restoring bite, periodontal therapy
View fullsize
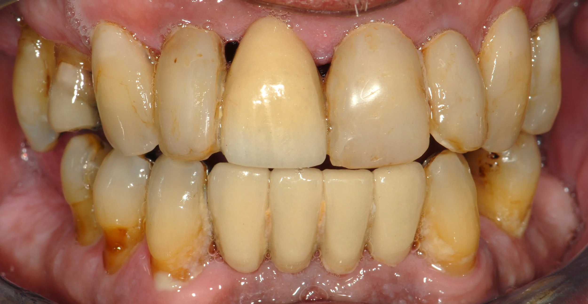
Restoring esthetics after
View fullsize
Restoring health, function, and esthtics after
View fullsize
Collapsed bite before 1
View fullsize
Severe grinding, neglect before 2
View fullsize
Full mouth restoration improved smile and confidence after 1
View fullsize
Full mouth reconstruction perio, endo, prosth after 2
View fullsize
Unable to smile before 1
View fullsize
Ill fitting restorations before 2
View fullsize
Improved smile and confidence after
View fullsize
Full mouth rehabilitation perio, endo, implants, prosth after
View fullsize
Postrior bite collapse, unable to smile, poor function before 1
View fullsize
Restoring esthetics, phonetics, and function before 2
View fullsize
Restoring smile self confidence after 1
View fullsize
Perio, endo, oral surgery, implants, prosth maintenance for life after 2
View fullsize
Hopeless teeth before 1
View fullsize
All implant supported crown work changing lives forever after 2