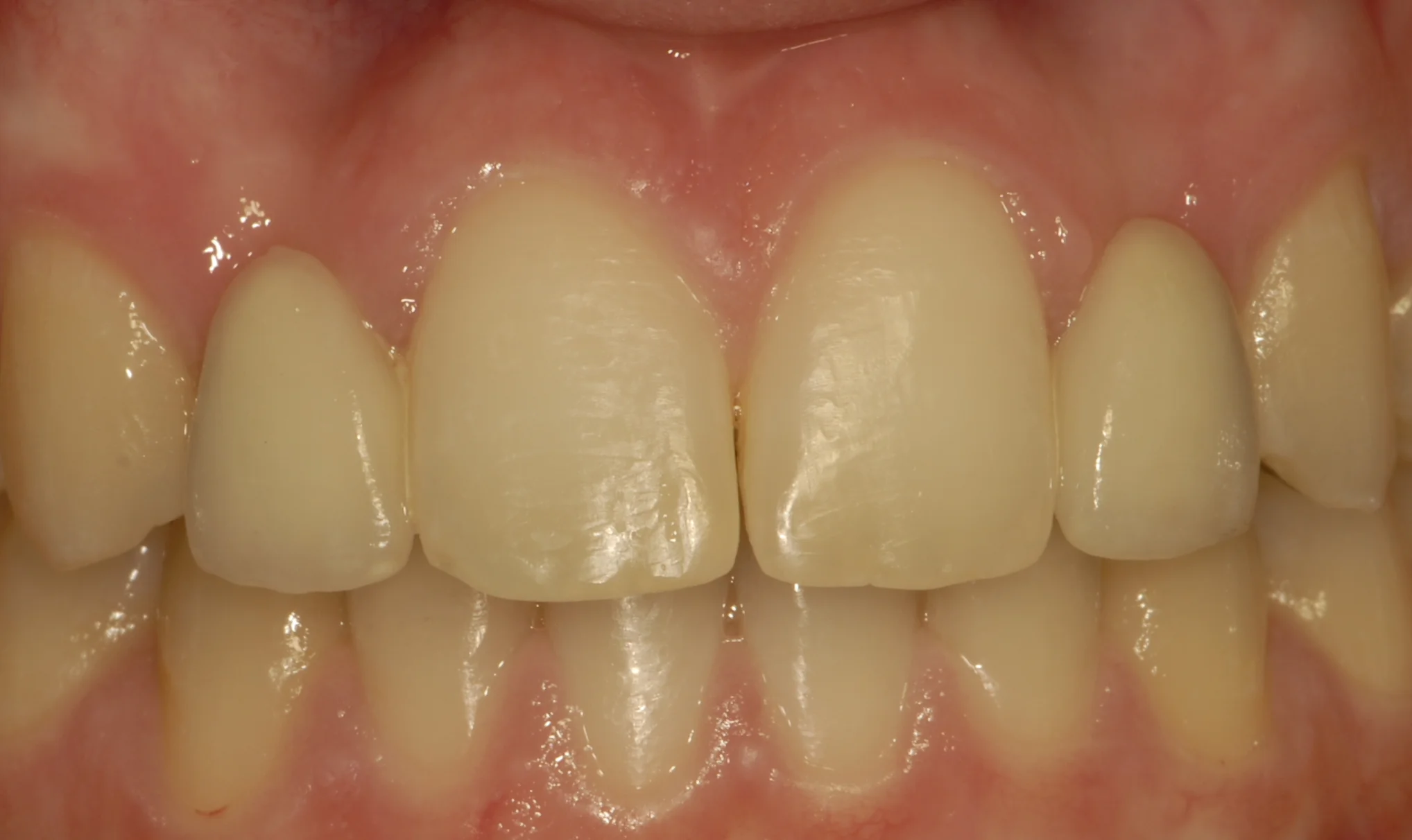
4 maryland bridges after.JPG

Bridges

A bridge is a device used to replace missing teeth by attaching an artificial tooth (pontic) to an adjacent natural tooth, or to an implant.  A bridge can be either permanently attached (fixed), or removable. The doctor will discuss options with you and recommend the best treatment. 

 

 

Dental Bridge Options

All of your teeth play an important role in speaking, chewing and in maintaining proper alignment of other teeth. Tooth loss doesn’t necessarily have to occur as you age, but if you do lose teeth they must be replaced in order to maintain proper function of your mouth. Fortunately, there are options for correcting tooth loss.

Why do I need a bridge?

A bridge helps support your lips and cheeks. The loss of a molar may cause your mouth to sink and your face to look older. However, dental health and function is the most important reason for a bridge. Teeth were designed to complement each other. Unusual stresses are placed on the gums and other oral tissues when teeth are missing, causing a number of potentially harmful disorders. Increased risk of gum disease and speech disorders have proven to be two of the most harmful side effects of missing teeth, and this can be minimized with a bridge.

What are the steps?

The procedure takes three visits to complete. At the first appointment Dr. Progebin will prepare the teeth on either side of the gap by removing a portion of the enamel and dentin.

During the subsequent visit impressions of the teeth are taken and sent to a lab where the bridge will be constructed.

For the final visit fixed bridges are cemented to the natural teeth or implants. Crowns, which are cemented onto the natural teeth, provide support for the bridge.

 

What materials are used?

Bridges can be constructed from gold alloys, non-precious alloys, porcelain, or a combination of these materials. Porcelain is often bonded to either precious or non-precious metal.

 

 

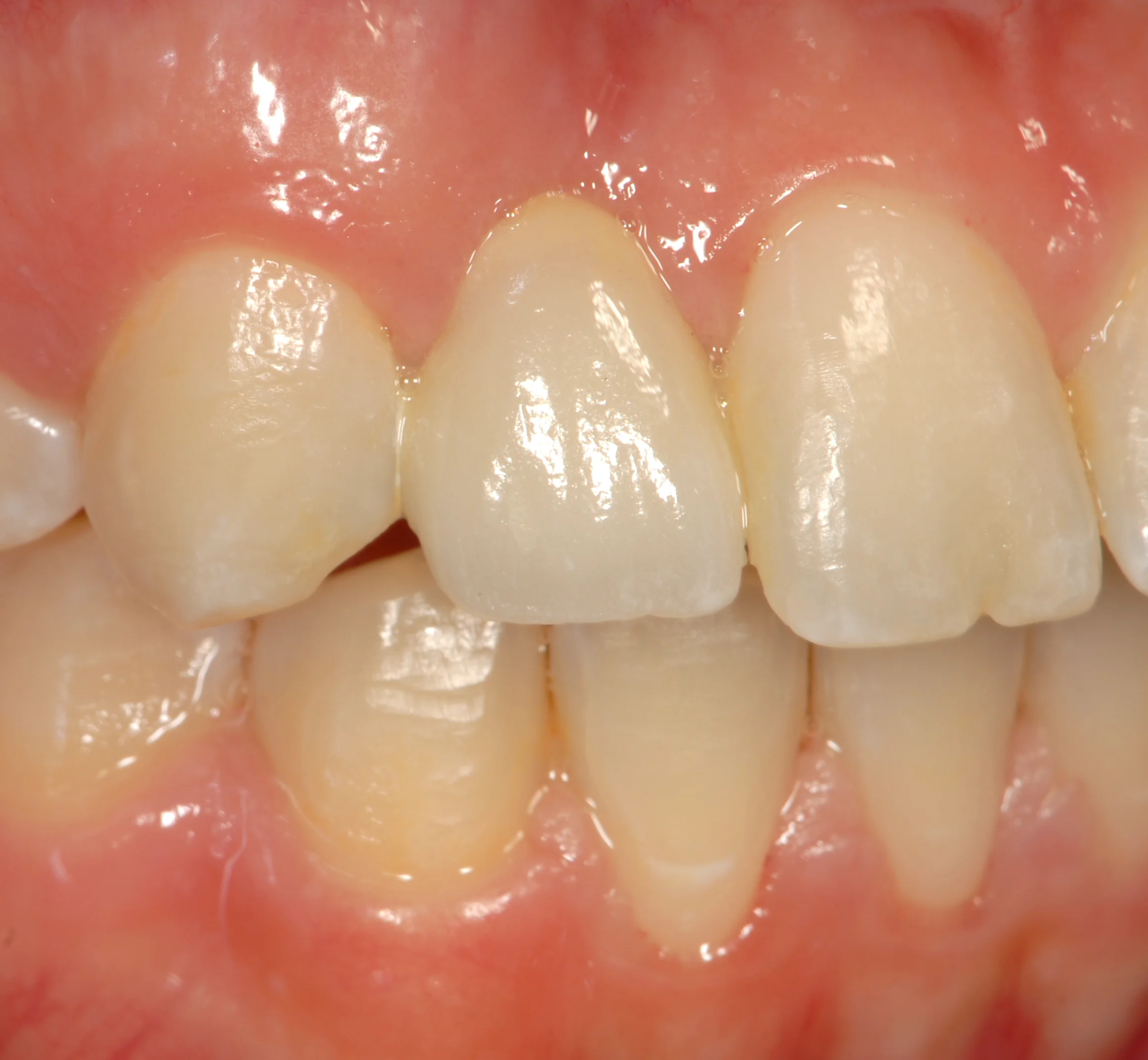
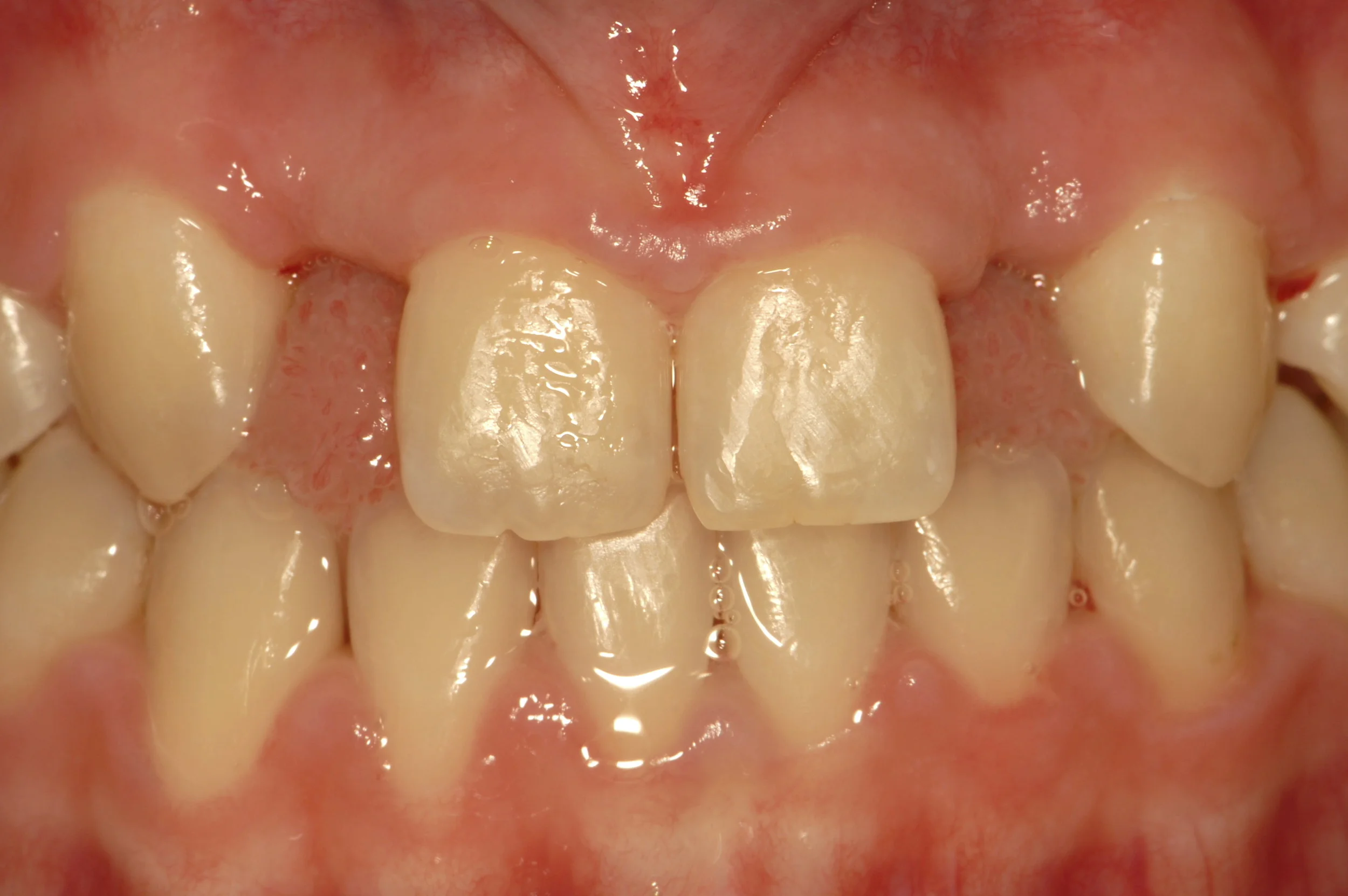
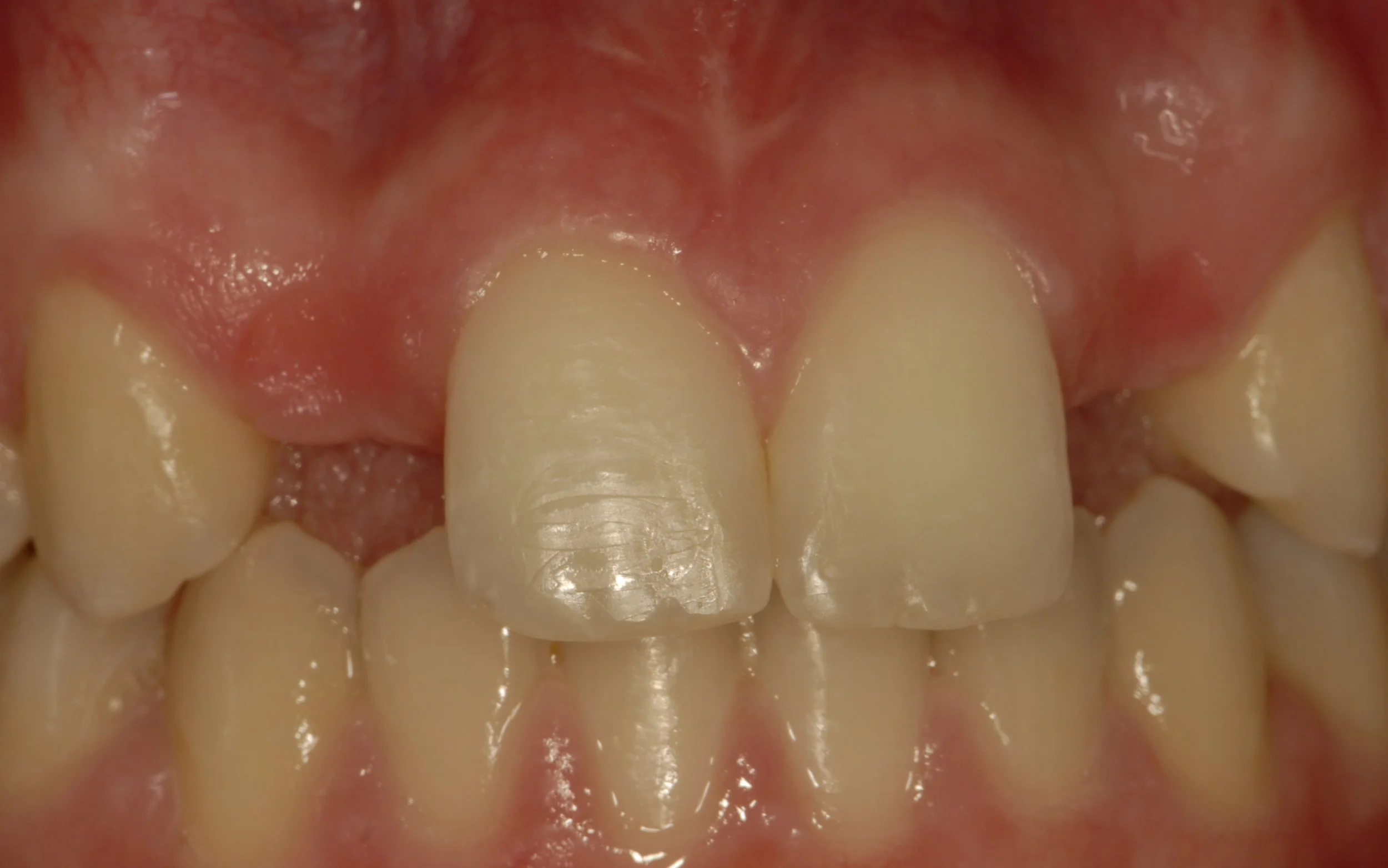
Samples:

 
 

Photo Gallery: